本文转载自君华口腔微信公众号,原文链接:https://mp.weixin.qq.com/s/toC2vOEloazplD9b2gFC4Q
对于容易塞牙的人来说,每次吃饭都是一种折磨。吃东西塞牙到底是怎么回事?
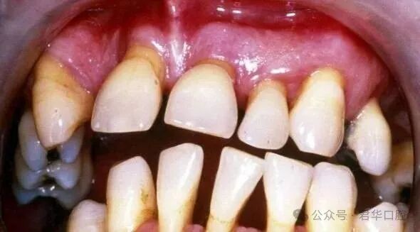
一、塞过牙的人才知道的痛苦 如果你开始塞牙了,基本上就说明你的牙有点毛病了。 塞牙在医学上称为食物嵌塞,又称嵌食症。正常情况下,牙与牙之间紧密接触,不会发生塞牙。 塞牙有很多种可能,有的是牙齿有洞,有的是牙缝过大等等。只要我们口腔里有2颗及以上的牙齿,就有可能会塞牙。 二、经常塞牙的原因 塞牙这个困扰可能会烦恼你一辈子。 1、邻面龋坏,破坏了接触区和边缘嵴。 相邻的两颗大牙邻面有龋洞,成年人龋齿,大多坏在牙缝部位,相邻的两颗大牙邻面有龋洞,吃的东西就全填进去了。你不一定看得到它,它却能每天都折磨你。想要解决的话,就去医院进行龋坏处填充吧。 有些牙缝龋齿还不容易补,若补牙的材料跟旁边的那颗牙之间接触不紧密,或接触的部位不好,就会导致塞牙,非常常见。 其他一些牙科治疗,比如镶的牙跟其他牙齿接触不好等等,也会塞牙,所以,你不要以为补完牙就爽歪歪了。 2、牙周病来了,牙齿变松了 牙周病是指发生在牙周组织的疾病。我们牙齿的根部是被牙槽骨固定着的,牙槽骨外面又包裹了一层牙龈,它们让牙齿一个挨一个紧密地排列在一起,基本上不会挤出缝儿来让食物有机可乘。 患有慢性牙周病的牙齿 若不注意口腔卫生,食物残渣产生的毒素就会慢慢地刺激牙龈发炎,频繁发炎的牙龈又会刺激到牙槽骨,发炎的牙槽骨慢慢吸收,变得越来越低,包裹它的牙龈也慢慢萎缩,这样暴露在外面的牙根就会越来越多,固定它的力量越来越小,牙齿就会慢慢松动。 也许这种细微的松动你平时根本觉察不到,可一旦吃一些坚韧难咬的食物时,用的力气是平时的几倍,在上下牙拼命往一起用力时,松动的牙齿就被推开了一道缝儿,韭菜丝趁机往里一挤。 3、牙齿不整齐 你已经矫正过牙齿了?你的牙齿看上去很整齐?外观整齐不代表牙齿结构真的整齐,只要一颗牙排列有点歪,塞牙就来了。 4、智齿这个混蛋在作怪 智齿是最容易塞的一颗牙了,因为大多数人智齿长得都不正,别的牙都是从下往上竖着长,可智齿经常从后往前横着长,于是它跟前面的牙之间就出现了一道楔形的沟,这样就极其容易塞牙。 5、年老牙衰 老人家的牙槽骨会出现自然衰退,这样的塞牙,简直势不可挡。 三、塞牙的危害大大的 塞牙会让牙齿胀痛,以此容易造成偏侧咀嚼甚至进食障碍。 塞牙还会让你口臭。食物残渣产生大量细菌,并且还有不好闻的味道…… 塞牙容易让你患龋齿。很多塞牙,都是会导致龋齿的。 塞牙也会产生牙周病。肉丝塞牙缝是给细菌提供了繁殖的温床,细菌大量繁殖就会导致牙龈发炎。 四、洗牙、使用牙线会使牙缝变大吗? 懂得洗牙、用牙线说明你已经有了初步的口腔保健意识了。 正确的洗牙、用牙线是不会让牙缝变大的。

